What are full arch dental implants?
Full arch dental implants mean you have an entire arch of teeth, from ear to ear on either the upper jaw or the lower jaw, supported by implants. We can do all 16 teeth in five or six implants. It is not necessary to have all 16 implants for 16 teeth. This implies that you get one large horseshoe of teeth that's supported by five or six implants.
Who is a candidate for dental implants?
Your medical health plays a significant role. Conditions like diabetes and blood pressure need to be under control. If you're taking any medications for your bones, these may disqualify you from getting implant surgery. Also, you need bone in the jaw, as all implants have to be placed into bone. If you lack sufficient bone, we may need to create it or it might disqualify you from being an implant candidate.
What are the steps to get full arch implants?
The first step is a 3D x-ray to assess your bone structure, space, nerves, sinuses, and to check the anatomy. The next step is getting a temporary made. Then, you come in for the surgery where teeth are extracted, implants are placed, and you go home with your temporary that day. The implants need to heal, which takes a couple of months. Eventually, you go home with your fixed full arch on implants. The total process spans anywhere from 6 to 12 months.
Is this procedure painful?
Absolutely not. While you are in our chair, you will be numb and comfortable. You should not feel anything during the procedure. If you do, we encourage you to speak up so we can provide additional anesthesia. When you go home, we will provide you with medication, including antibiotics and painkillers. You may experience some soreness afterwards, but it should not be severe.
How long do full arch dental implants last?
Full arch dental implants should last the rest of your life, provided you take proper care of them. This includes brushing, flossing, and maintaining regular checkup visits.
How do you clean and care for full arch dental implants?
You need to invest in a quality toothbrush and a water pick or water flosser to clean around the implants and beneath the teeth. Regular professional dental cleanings, at least three times a year, are also necessary to extend the life of your full arch dental prosthesis.
Will the color of your new teeth match the color of your old teeth?
If that's what you prefer, we can certainly match the color of your old teeth. We can also match the color of your teeth on the other jaw. If you desire a bright white, Hollywood smile, we can accommodate that as well.
Hybridge Transformations:
Full‑Arch Revival
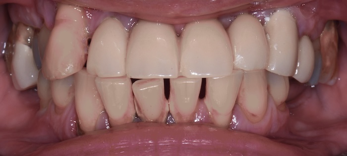
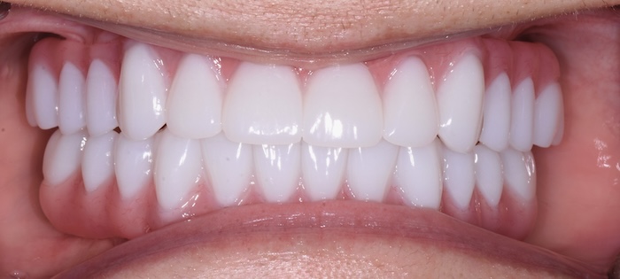
Upper & Lower Hybridge Transformation. Julie received fixed Hybridge restorations on both arches—bringing back a full, functional smile and renewed confidence.
Complete Smile Renewal with Dual‑Arch Hybridge
Maggy's upper and lower arches were transformed with Hybridge implants, restoring strength, bite, and aesthetics. This comprehensive solution not only enhanced her smile but also improved her overall oral function and confidence.


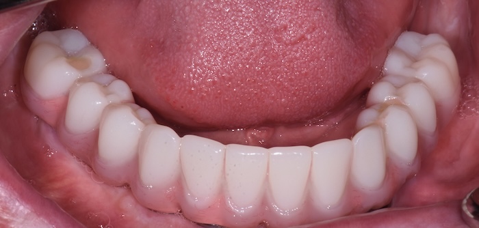
Lower‑Arch Precision
Hybridge Restored Confidence: Following the success of the lower arch restoration, David is now considering the next step: restoring his upper arch. This phased approach allows for optimal healing and adaptation, ensuring the best possible outcome for both arches. Stay tuned for updates on David's upper arch restoration journey.


Upper Jaw Hybridge Full-arch Restoration:
This patient underwent a Hybridge full-arch restoration on the upper jaw—restoring full function and aesthetics for a confident, natural smile. Following the success of the upper arch restoration, the patient is now considering the next step: restoring the lower arch. This phased approach allows for optimal healing and adaptation, ensuring the best possible outcome for both arches. Stay tuned for updates on this patient's lower arch restoration journey.


Upper & Lower Jaw Hybridge Full-arch Restoration:
This patient began with a stunning Hybridge transformation on the upper arch—restoring full function, bite, and confidence. So impressed by the results, they returned soon after to complete the lower arch restoration as well. Using Hybridge’s proven multi-implant protocol (5–6 implants per arch), they achieved a seamless, full-mouth solution in record time.